Injertos y Rellenos Óseos

Cuidamos la Salud integral de tu boca.

¿Cuáles son las causas de la falta de hueso?

Después de una pérdida dental y con el transcurso del tiempo, el hueso que está alrededor de las raíces comienza a perderse de forma progresiva, lo que afecta tanto la salud dental como la estética dental. Este proceso se conoce como reabsorción ósea del hueso maxilar.

El grado de pérdida ósea puede verse agravado por el uso de prótesis removibles que se apoyan sobre la encía, generando una presión adicional que acelera la disminución del volumen óseo.

La enfermedad periodontal (problemas en las encías) es otra causa frecuente de pérdida ósea avanzada. Además, los traumatismos dentarios, como golpes, pueden llevar a la fractura del hueso, creando defectos que requieren procedimientos de regeneración ósea.

  • ¿Cómo se soluciona la falta de hueso?

    Hace algunos años, la falta de hueso hacía imposible la colocación de implantes dentales, pero hoy en día, gracias a los avances en odontología, es posible reconstruir el hueso maxilar mediante procedimientos de injertos óseos.

    Para ello, en nuestra clínica odontológica utilizamos diferentes materiales y técnicas para formar hueso sano, asegurando un adecuado volumen y densidad ósea. Estos procedimientos son clave para restablecer la dimensión del hueso perdido y garantizar la estabilidad de los implantes dentales.

    En nuestra clínica odontológica, realizamos un diagnóstico preciso para determinar el tipo de injerto más adecuado según las necesidades del paciente.

    Para lograr el éxito en la colocación de implantes dentales, es fundamental contar con suficiente ancho y altura ósea que permitan la correcta integración con el hueso maxilar. Si existe una pérdida ósea significativa, los injertos serán la mejor solución para garantizar un resultado óptimo en términos de salud dental y estética dental.

    ¿Qué materiales se utiliza para aumentar hueso?

    Tenemos 4 categorías diferentes:
    • Hueso autogéno
    • Aloinjerto
    • Xenoinjerto
    • Aloplásticos

  • – El hueso autógeno o autólogo está considerado como el injerto ideal. Es transplantado de un sitio dador al sitio receptor del mismo paciente. Los mayores rangos de éxito se han logrado con este tipo de injertos. No existe reacción de rechazo y la estructura microscópica coincide perfectamente. Para propósitos de la implantología oral podemos usar hueso del mentón o de las porciones posteriores de la mandíbula.

    – El aloinjerto se define como el injerto entre individuos de la misma especie, pero con composición genética diferente, es decir hueso humano de banco.

    – El xenoinjerto se define como el injerto de tejido entre dos diferentes especies (hueso de origen bovino o porcino).

    – Los aloplásticos generalmente incluye material de injerto sintético que no proviene de origen animal o humano. Normalmente Hidroxiapatita. En la mayoría de los casos combinamos autoinjertos con aloinjertos.

Para nosotros es muy importante hacer un diagnóstico y un pronóstico adecuado y acertado para ver la viabilididad del tratamiento a realizar, más aún si hablamos de implantes dentales.

Para colocar implantes es necesario tener hueso adecuado en ancho y alto para poder lograr la consolidación de los implantes en boca. Si existe una falta de hueso es importante crear las condiciones ideales para poder realizar una correcta cirugía de implantes.

  • Elevación del piso del seno maxilar

    Al perder dientes, nuestros senos maxilares crecen en volumen y eliminan valioso hueso del reborde del maxilar. Este proceso se llama neumatización de los senos maxilares. Esto hace difícil pero no imposible la colocación de implantes dentales.

    La elevación de seno se utiliza para subir la parte inferior del seno, se injerta hueso debajo para crear suficiente espacio para colocar uno o más implantes dentales.

    Este procedimiento se ha llevado a cabo exitosamente por más de dos décadas y es considerado un método aceptado y predecible de injerto óseo.

  • Un injerto de hueso autógeno da los mejores y más rápidos resultados. Lleva aproximadamente de 4 a 6 meses en madurar dentro del seno, mientras que un injerto de hueso alogénico, aloplástico o xenogénico puede tomar 9 meses o más. Muchas veces utilizamos una mezcla de hueso autógeno y de banco.

    Los procedimientos de elevación de seno y la colocación de implantes se pueden llevar a cabo en un solo procedimiento siempre y cuando exista suficiente hueso entre borde del maxilar superior y base del seno disponible para estabilizar bien los implantes. En caso de no tener suficiente hueso disponible, la elevación de seno se tendrá que llevar a cabo primero, luego dejar madurar por varios meses (dependiendo del material usado). Una vez que el injerto ha madurado se pueden colocar los implantes.

Procedimiento de elevación de seno y colocación de implantes
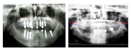
  • Caso Clínico Aquí se aprecia la falta de hueso por debajo de los senos maxilares debido a la ausencia de los dientes. Después apreciamos la radiografía donde se hace el procedimiento de elevación de seno maxilar donde se aprecia la colocación del injerto con los implantes ya colocados.

    Izquierda: Nótese el injerto colocado obteniendo mayor altura para la colocación de los implantes
    Derecha: Aquí se observa la poca cantidad de hueso por debajo de los senos maxilares.

  • Injertos en Bloque

    Conocido también como injerto onlay. Este tipo de injerto esta diseñado para reestablecer el hueso perdido en un área particular debido al desgaste. Una porción de hueso autógeno (normalmente del mentón o de la parte posterior de la mandíbula) se une al sitio con el defecto óseo.

    Posteriormente se cierra el área y se deja madurar por un período de cicatrización de 6 meses. Este hueso será incorporado en el lugar receptor para ser integrado y mineralizado, así los implantes podrán ser colocados.

    Este procedimiento es ampliamente usado para tratar bordes óseos con demasiado desgaste de hueso en el maxilar superior e inferior. Es normalmente necesario antes de la colocación de implantes para asegurar el posicionamiento del implante y una mejor estética de la futura prótesis.

Expansión de reborde o disyunción

Esta técnica es usada para restaurar la dimensión del hueso perdido cuando el borde del maxilar es muy delgado, para colocar implantes dentales. El borde del maxilar es literalmente expandido por medios mecánicos, con expansores u osteótomos. Esto comprime el hueso creando sitios donde se alojaran los implantes, en forma inmediata.

  • Ubicación

    Blanco Encalada 2534 2ºA
    Belgrano, CABA

  • Líneas Rotativas

    4788-1760

  • Email

    info@implantes-estetica.com

  • Website

    www.implantes-estetica.com